免責聲明
本網站僅提供窩客幫資訊參考平台, 並不涉入其中任何諮詢、交易。本網站對各該窩客幫相關資訊亦不作任何實質或形式上之審查。本網站中所載一切窩客幫的資訊、文字、照片、圖形 、產權、廣告內容、或其他資料(以下簡稱『內容』)。無論其為公開張貼或私下傳送,若有不實或違法情事,均為『內容』提供者之責任,窩客幫概不負責也不承擔任何法律責任。
謝昂儒牙醫師-植牙,植牙診所,植牙醫師,三重植牙,安坑植牙
  • 成功案例
  • 成功案例
  • 成功案例
  • 成功案例

  • 商品型號

  • 商品規格

分享到

單側咬合重建:守護牙齒的「骨牌效應」

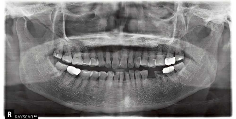
案例背景:消失的後牙支柱

患者因左下後牙缺失(圖一),導致進食時長期依賴單側咀嚼。長期偏側咬合不僅造成肌肉負擔,更潛藏著鄰牙位移與對咬牙過度生長的風險。

缺牙區的隱形危機

  • 齒列傾倒: 失去鄰牙支撐,剩餘牙齒容易像骨牌般向空缺處傾斜。

  • 咬合失衡: 單側受力過重,加速健康牙齒的磨耗與損耗。


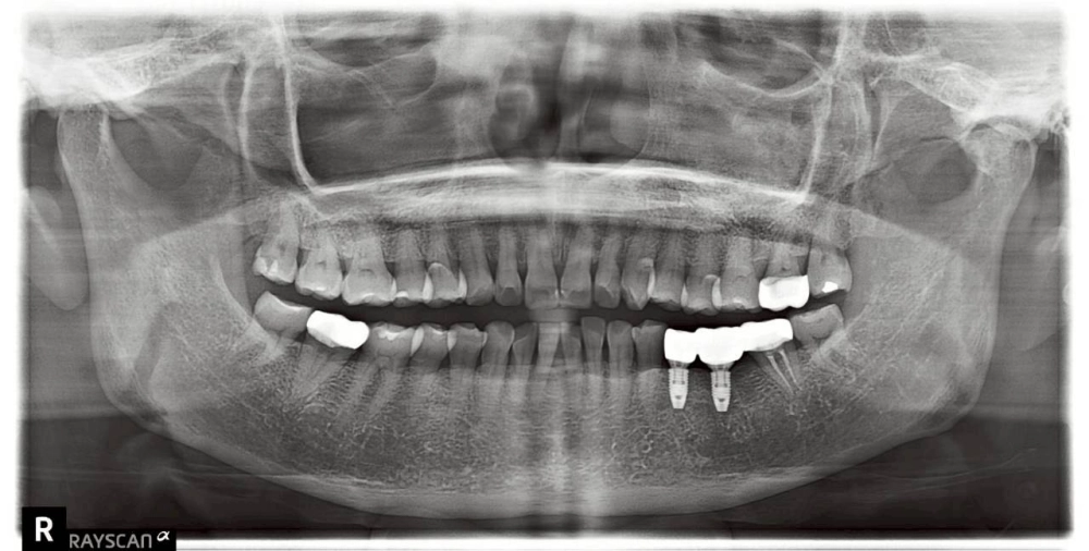
診療計畫:精準植入與受力重建

謝昂儒醫師針對左下缺牙區進行了精確的植牙規劃,確保植體能承擔強大的咀嚼壓力。

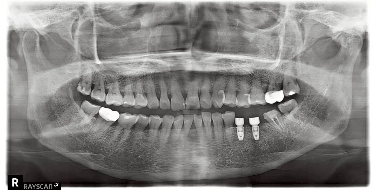
從手術到修復的蛻變

  • 植體植入(圖二): 選擇合適直徑與長度的植體,為缺牙區重新打下穩固地基。

  • 功能恢復(圖三): 裝上高度精準的假牙冠,完美銜接原有咬合曲線,恢復強勁咬合力。


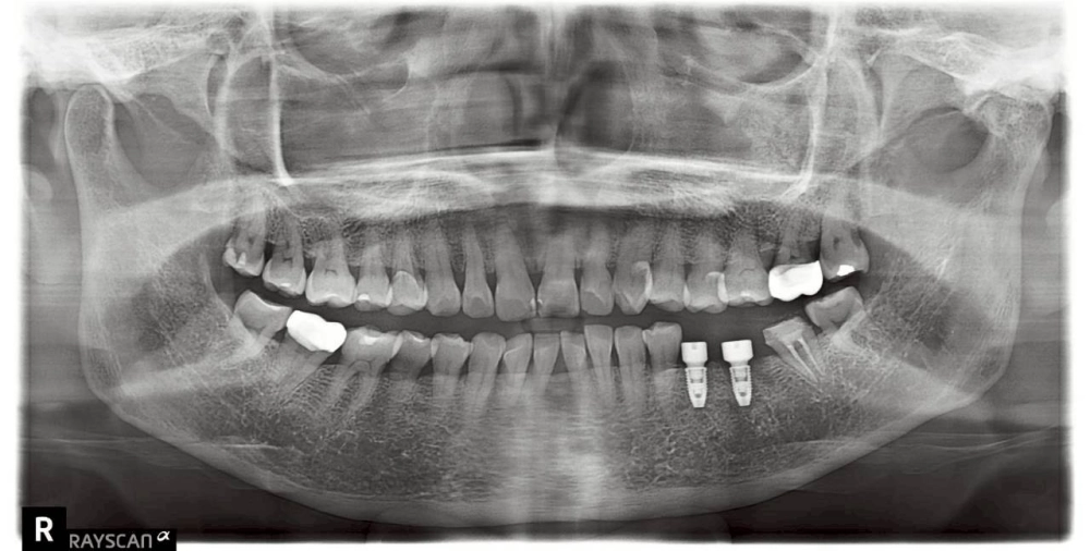
術後回饋:找回對稱的咀嚼力

患者術後表示,終於能恢復雙邊均衡咀嚼的習慣,不僅進食速度變快,原本單側緊繃的感受也大幅緩解。

謝昂儒醫師的叮嚀

「後牙是咬合的基石。及時補位,是保護其他健康牙齒不位移的最有效處方。」

謝昂儒牙醫師-植牙,植牙診所,植牙醫師,三重植牙,安坑植牙

  • 服務項目

    牙醫診所

  • 特別關鍵字

    植牙,台北植牙,三重植牙,安坑植牙,植牙診所,台北植牙診所,三重植牙診所,安坑植牙診所,植牙醫師,台北植牙醫師,三重植牙醫師,安坑植牙醫師,植牙醫師推薦,台北植牙醫師推薦,三重植牙醫師推薦,安坑植牙醫師推薦,微創植牙,台北微創植牙,三重微創植牙,安坑微創植牙,微創植牙推薦,台北微創植牙推薦,三重微創植牙推薦,安坑微創植牙推薦,人工植牙,台北人工植牙,三重人工植牙,安坑人工植牙,人工植牙推薦,台北人工植牙推薦,三重人工植牙推薦,安坑人工植牙推薦,植牙推薦,台北植牙推薦,三重植牙推薦,安坑植牙推薦,植牙診所推薦,台北植牙診所推薦,三重植牙診所推薦,安坑植牙診所推薦,牙醫,台北牙醫,三重牙醫,安坑牙醫,牙醫推薦,台北牙醫推薦,三重牙醫推薦,安坑牙醫推薦,牙醫診所,台北牙醫診所,三重牙醫診所,安坑牙醫診所,牙醫診所推薦,台北牙醫診所推薦,三重牙醫診所推薦,安坑牙醫診所推薦,全口重建,台北全口重建,三重全口重建,安坑全口重建,ALL-ON-4全口重建,台北ALL-ON-4全口重建,三重ALL-ON-4全口重建,安坑ALL-ON-4全口重建,固定式假牙,台北固定式假牙,三重固定式假牙,安坑固定式假牙,半固定式假牙,台北半固定式假牙,三重半固定式假牙,安坑半固定式假牙,BPS吸附式假牙,台北BPS吸附式假牙,三重BPS吸附式假牙,安坑BPS吸附式假牙,BPS吸附式假牙推薦,台北BPS吸附式假牙推薦,三重BPS吸附式假牙推薦,安坑BPS吸附式假牙推薦,吸附式假牙,台北吸附式假牙,三重吸附式假牙,安坑吸附式假牙,活動式假牙,台北活動式假牙,三重活動式假牙,安坑活動式假牙,全瓷假牙,台北全瓷假牙,三重全瓷假牙,安坑全瓷假牙,全口假牙,台北全口假牙,三重全口假牙,安坑全口假牙,全瓷冠假牙,台北全瓷冠假牙,三重全瓷冠假牙,安坑全瓷冠假牙,裝假牙,台北裝假牙,三重裝假牙,安坑裝假牙,做假牙,台北做假牙,三重做假牙,安坑做假牙,假牙贋復,台北假牙贋復,三重假牙贋復,安坑假牙贋復,牙周治療,台北牙周治療,三重牙周治療,安坑牙周治療,牙周雷射治療,台北牙周雷射治療,三重牙周雷射治療,安坑牙周雷射治療,免開刀牙周治療,台北免開刀牙周治療,三重免開刀牙周治療,安坑免開刀牙周治療,牙齒貼片,台北牙齒貼片,三重牙齒貼片,安坑牙齒貼片,美齒貼片,台北美齒貼片,三重美齒貼片,安坑美齒貼片,陶瓷貼片,台北陶瓷貼片,三重陶瓷貼片,安坑陶瓷貼片,牙齒美白,台北牙齒美白,三重牙齒美白,安坑牙齒美白,噴砂美白,台北噴砂美白,三重噴砂美白,安坑噴砂美白,居家美白,台北居家美白,三重居家美白,安坑居家美白,冷光美白,台北冷光美白,三重冷光美白,安坑冷光美白,牙周病治療,台北牙周病治療,三重牙周病治療,安坑牙周病治療,雷射牙周病治療,台北雷射牙周病治療,三重雷射牙周病治療,安坑雷射牙周病治療,洗牙,台北洗牙,三重洗牙,安坑洗牙,拔智齒,台北拔智齒,三重拔智齒,安坑拔智齒,戴牙套,台北戴牙套,三重戴牙套,安坑戴牙套