免責聲明
本網站僅提供窩客幫資訊參考平台, 並不涉入其中任何諮詢、交易。本網站對各該窩客幫相關資訊亦不作任何實質或形式上之審查。本網站中所載一切窩客幫的資訊、文字、照片、圖形 、產權、廣告內容、或其他資料(以下簡稱『內容』)。無論其為公開張貼或私下傳送,若有不實或違法情事,均為『內容』提供者之責任,窩客幫概不負責也不承擔任何法律責任。
謝昂儒牙醫師-植牙,植牙診所,植牙醫師,三重植牙,安坑植牙
  • 成功案例
  • 成功案例
  • 成功案例

  • 商品型號

  • 商品規格

分享到

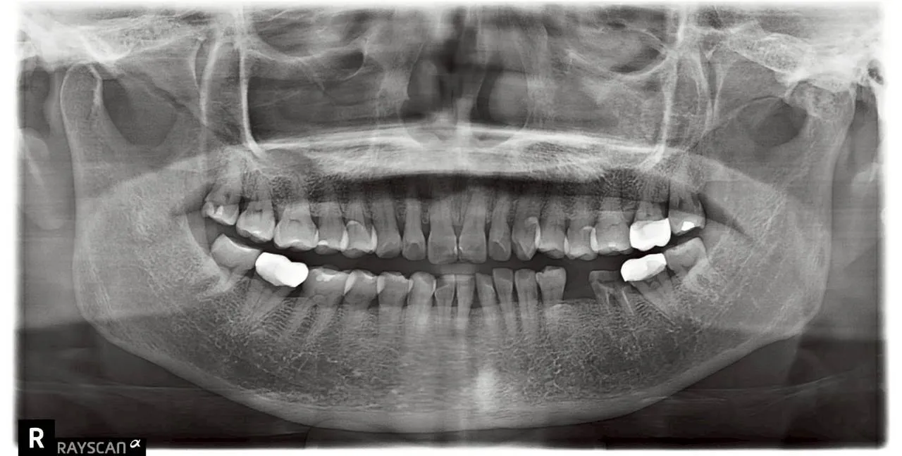
全口植牙重生紀實:找回咀疊的日常幸福

案例背景:那些被遺忘的味覺記憶

「醫師,我很久不知道大口吃肉的感覺了。」患者初診時的這句話,道盡了長年缺牙的無奈。

缺牙引發的連鎖反應

  • 咬合功能崩塌: 僅靠前牙支撐,進食成了沈重負擔。

  • 社交自信流失: 習慣性遮嘴,甚至推辭與家人的美食約會。


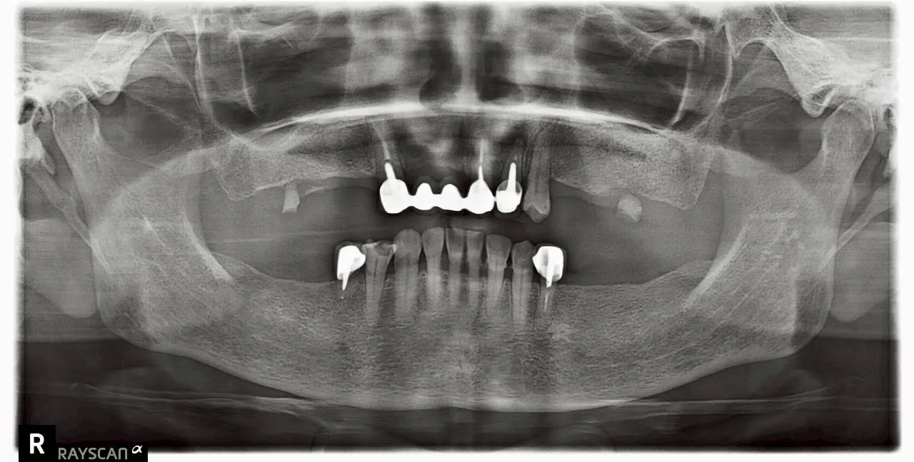
診療計畫:為生活品質開立的專業處方

謝昂儒醫師深知,植牙不只是補牙,更是重建生活。我們針對患者全口咬合不穩的現況,制訂了精準的植牙藍圖。

穩固基石的建立

  • 力學回歸: 植體如基石般穩固,為全口提供對咬支撐。

  • 保護鄰牙: 重新分配壓力,緩解門牙過度的咬合負擔。


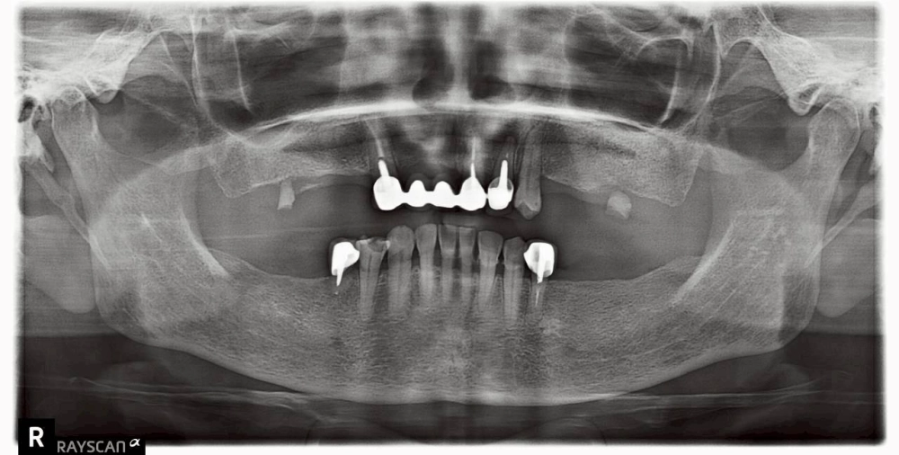
術後回饋:重啟美味的人生下半場

現在的患者回診時笑容滿面。他分享道,終於能自信地夾起想吃的菜餚,不再擔心咬不動。

謝昂儒醫師的叮嚀

「牙齒的缺位,不該成為品味生活的阻礙。讓我們陪您,找回這份平凡的幸福。」

謝昂儒牙醫師-植牙,植牙診所,植牙醫師,三重植牙,安坑植牙

  • 服務項目

    牙醫診所

  • 特別關鍵字

    植牙,台北植牙,三重植牙,安坑植牙,植牙診所,台北植牙診所,三重植牙診所,安坑植牙診所,植牙醫師,台北植牙醫師,三重植牙醫師,安坑植牙醫師,植牙醫師推薦,台北植牙醫師推薦,三重植牙醫師推薦,安坑植牙醫師推薦,微創植牙,台北微創植牙,三重微創植牙,安坑微創植牙,微創植牙推薦,台北微創植牙推薦,三重微創植牙推薦,安坑微創植牙推薦,人工植牙,台北人工植牙,三重人工植牙,安坑人工植牙,人工植牙推薦,台北人工植牙推薦,三重人工植牙推薦,安坑人工植牙推薦,植牙推薦,台北植牙推薦,三重植牙推薦,安坑植牙推薦,植牙診所推薦,台北植牙診所推薦,三重植牙診所推薦,安坑植牙診所推薦,牙醫,台北牙醫,三重牙醫,安坑牙醫,牙醫推薦,台北牙醫推薦,三重牙醫推薦,安坑牙醫推薦,牙醫診所,台北牙醫診所,三重牙醫診所,安坑牙醫診所,牙醫診所推薦,台北牙醫診所推薦,三重牙醫診所推薦,安坑牙醫診所推薦,全口重建,台北全口重建,三重全口重建,安坑全口重建,ALL-ON-4全口重建,台北ALL-ON-4全口重建,三重ALL-ON-4全口重建,安坑ALL-ON-4全口重建,固定式假牙,台北固定式假牙,三重固定式假牙,安坑固定式假牙,半固定式假牙,台北半固定式假牙,三重半固定式假牙,安坑半固定式假牙,BPS吸附式假牙,台北BPS吸附式假牙,三重BPS吸附式假牙,安坑BPS吸附式假牙,BPS吸附式假牙推薦,台北BPS吸附式假牙推薦,三重BPS吸附式假牙推薦,安坑BPS吸附式假牙推薦,吸附式假牙,台北吸附式假牙,三重吸附式假牙,安坑吸附式假牙,活動式假牙,台北活動式假牙,三重活動式假牙,安坑活動式假牙,全瓷假牙,台北全瓷假牙,三重全瓷假牙,安坑全瓷假牙,全口假牙,台北全口假牙,三重全口假牙,安坑全口假牙,全瓷冠假牙,台北全瓷冠假牙,三重全瓷冠假牙,安坑全瓷冠假牙,裝假牙,台北裝假牙,三重裝假牙,安坑裝假牙,做假牙,台北做假牙,三重做假牙,安坑做假牙,假牙贋復,台北假牙贋復,三重假牙贋復,安坑假牙贋復,牙周治療,台北牙周治療,三重牙周治療,安坑牙周治療,牙周雷射治療,台北牙周雷射治療,三重牙周雷射治療,安坑牙周雷射治療,免開刀牙周治療,台北免開刀牙周治療,三重免開刀牙周治療,安坑免開刀牙周治療,牙齒貼片,台北牙齒貼片,三重牙齒貼片,安坑牙齒貼片,美齒貼片,台北美齒貼片,三重美齒貼片,安坑美齒貼片,陶瓷貼片,台北陶瓷貼片,三重陶瓷貼片,安坑陶瓷貼片,牙齒美白,台北牙齒美白,三重牙齒美白,安坑牙齒美白,噴砂美白,台北噴砂美白,三重噴砂美白,安坑噴砂美白,居家美白,台北居家美白,三重居家美白,安坑居家美白,冷光美白,台北冷光美白,三重冷光美白,安坑冷光美白,牙周病治療,台北牙周病治療,三重牙周病治療,安坑牙周病治療,雷射牙周病治療,台北雷射牙周病治療,三重雷射牙周病治療,安坑雷射牙周病治療,洗牙,台北洗牙,三重洗牙,安坑洗牙,拔智齒,台北拔智齒,三重拔智齒,安坑拔智齒,戴牙套,台北戴牙套,三重戴牙套,安坑戴牙套