最新案例
-
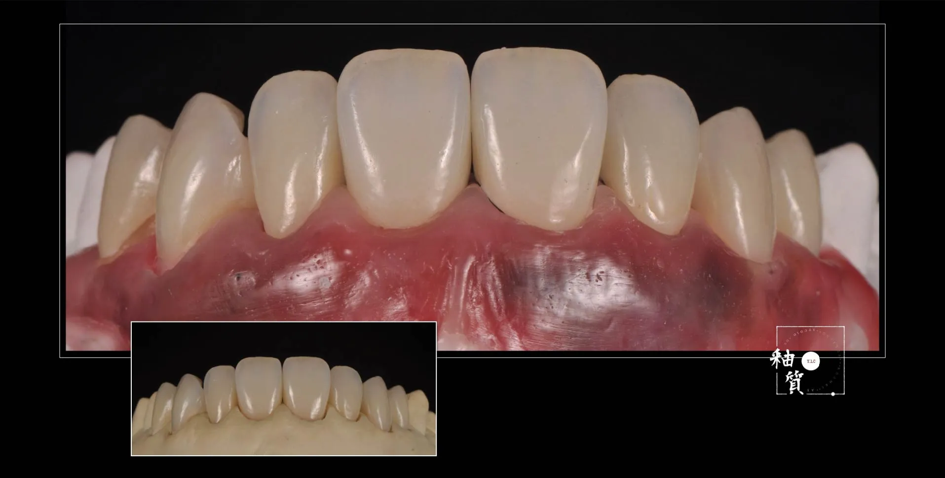
veneer layering
2026/03/12 -
labial side layering 唇側燒瓷
2026/03/12 -
透過光影交錯, 呈現真實而細膩的質感
2026/03/12 -
4-4 zirconia layering - 一個非常接近美白牙的案例
2025/12/01 -
11 zirconia layering
2025/12/01 -
11 zirconia layering - 專注於每個細節的匠心精神
2025/12/01 -
OM2 美白色 - 與我們一同打造自信笑容
2025/12/01 -
labial side layering
2025/12/01 -
- zirconia layering - 11 Labial side
2025/12/01