-
Residential Deco Design
2026/03/12Deco Design:@till.deco
Interior Design:@star_cdesign
Project:Residential Deco Design
Location:Taiwan Taoyuan -
住宅空間軟裝佈置擺拍
2026/03/12【住宅空間軟裝DECO】
Deco Design:@till.deco
Interior Design:@chinyudesign
photography:@dayformstudio
案件類型:住宅空間軟裝佈置擺拍
地點:新北市 -
用色彩為空間注入不同風景
2026/03/12DECO Design: @till.deco 耕禾空間
Interior Design. :@norwedesign 知域設計
Project: 用色彩為空間注入不同風景
Location:Taiwan New Taipei City -
弧光之境・水岸住宅
2026/03/12DECO Design: @till.deco 耕禾空間
Interior Design:@fayi_interior 法藝設計
Project: 住宅空間 — 弧光之境・水岸住宅
Location: Taiwan New Taipei City -
牙醫空間軟裝擺拍
2026/03/12【商業空間軟裝DECO】
Deco Design:@till.deco
Interior Design:朋林設計
案件類型:牙醫空間軟裝擺拍
地點:新北市
-
釉裡紅留白海水龍紋天球瓶
2026/03/12明朝(1368年―1644年),是中國歷史上一個由漢族建立的王朝,初期建都南京,明成祖時期定都北京。傳十六帝,共276年。
瓷器是中國最重要的發明之一。明代景德鎮瓷器是非常輝煌的,尤其是青花瓷,可以算是明代瓷器的代表。精美瓷器常為皇室所收藏,也用於出口商品和外交禮物。在明朝,使用諸如銅(紅色)和鈷(藍色)等礦物的顏色屬創新之舉,且與瓷器設計、形狀等方面的新技術均已廣泛應用。 青花瓷業意義深遠,其在境內和境外貿易市場皆為大眾所知。 因此,青花瓷便成為這時期最著名的瓷器。 -
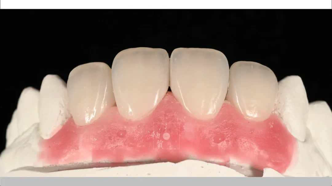
veneer layering
2026/03/12 -
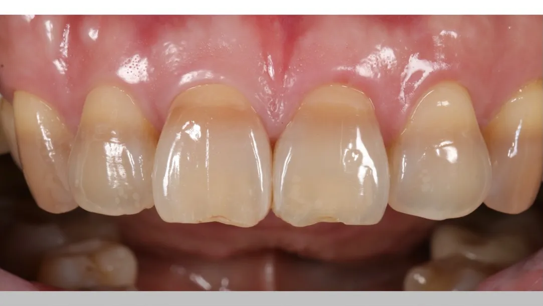
labial side layering 唇側燒瓷
2026/03/12 -
透過光影交錯, 呈現真實而細膩的質感
2026/03/12 -
老闆積欠薪水怎麼辦?別讓血汗錢白白流失!
2026/03/12辛苦工作,卻發現薪水遲遲沒入帳,甚至被老闆積欠很久?面對這種情況,許多勞工朋友可能感到焦慮、無助,不知道該如何是好。
-
成功取得侵害配偶權賠償
2026/03/12此為侵害配偶權之案件,我方當事人前配偶與其他被告有婚外踰矩行為,經律師於近1500頁對話紀錄中抽絲剝繭極力主張並舉證後,獲勝訴判決。
-
屏東咖啡廳安裝監控|台南監視器安裝|北區監視器安裝|北區監視器推薦|台南監視器工程
2026/03/12非常感謝屏東縣潮州鎮 哩賀咖啡的信任