免責聲明
本網站僅提供窩客幫資訊參考平台, 並不涉入其中任何諮詢、交易。本網站對各該窩客幫相關資訊亦不作任何實質或形式上之審查。本網站中所載一切窩客幫的資訊、文字、照片、圖形 、產權、廣告內容、或其他資料(以下簡稱『內容』)。無論其為公開張貼或私下傳送,若有不實或違法情事,均為『內容』提供者之責任,窩客幫概不負責也不承擔任何法律責任。
  • 戽斗/沒有做正顎手術
  • 戽斗/沒有做正顎手術
  • 戽斗/沒有做正顎手術
  • 戽斗/沒有做正顎手術
  • 戽斗/沒有做正顎手術

  • 商品型號

  • 商品規格

分享到

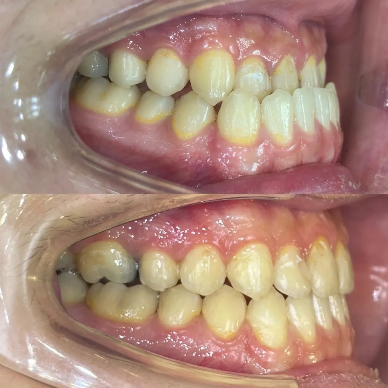
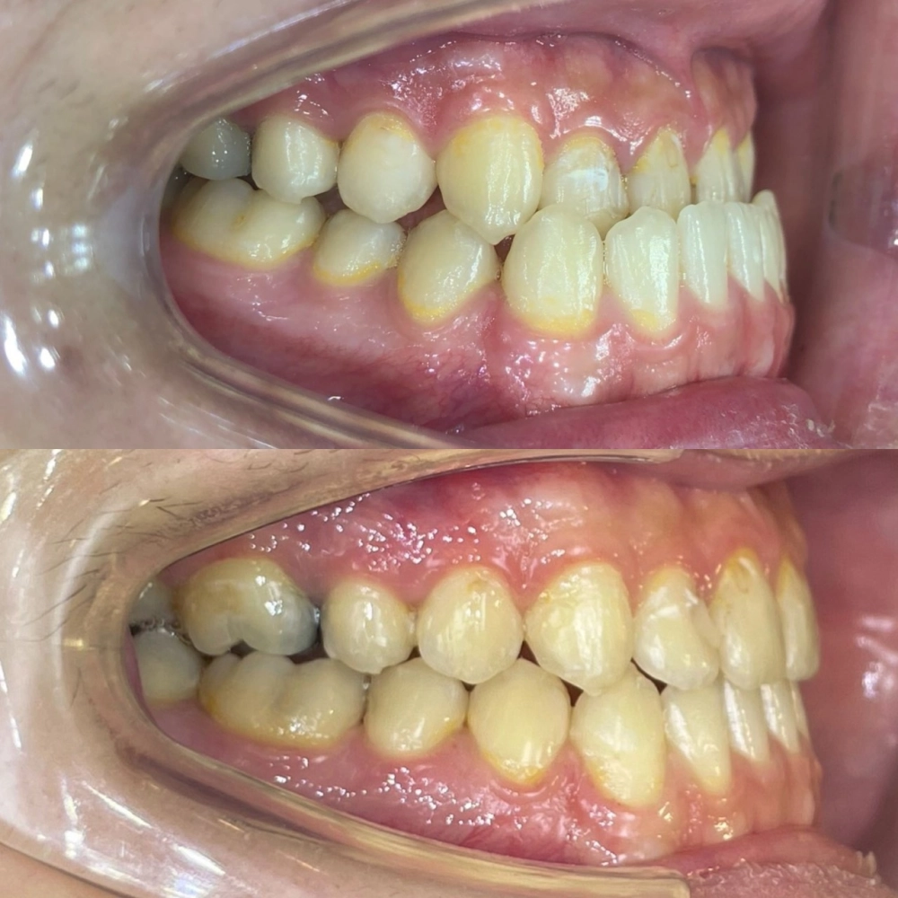
本案患者為嚴重戽斗合併整排前牙反咬,依傳統治療準則,通常會建議搭配正顎手術以同時改善骨性與咬合問題。
然而,正顎手術具有臉型改變風險高、療程時間長、費用負擔大等考量,患者經充分諮詢後,選擇以非手術矯正方式進行治療。
譚醫師在治療前有清楚說明,矯正結束後前牙會有內傾的情形。
經審慎規劃與控制矯正力道後,最終成功改善前牙反咬,恢復基本咬合功能。
雖非骨性完全矯正,但在風險可控、效果可預期的前提下,患者對矯正成果與整體治療體驗皆感到高度滿意。

患者主訴     戽斗、前牙反咬
療程時長     兩年又六個月
療程重點     ✅ 咬合改善  ✅ IPR(修牙縫)  ✅ 中線調整 ✅ 橡皮筋輔助 ✅ 利用智齒空間

譚世康牙醫師-牙齒矯正,隱形矯正,隱適美矯正,桃園牙齒矯正,中壢隱形矯正,平鎮隱適美矯正診所
電話 : 03-3250-820 地址 : 中寧街3號

  • 服務項目

    牙醫診所

  • 特別關鍵字

    牙齒矯正,桃園牙齒矯正,中壢牙齒矯正,平鎮牙齒矯正,隱形矯正,桃園隱形矯正,中壢隱形矯正,平鎮隱形矯正,隱適美矯正,桃園隱適美矯正,中壢隱適美矯正,平鎮隱適美矯正,隱適美診所,桃園隱適美診所,中壢隱適美診所,平鎮隱適美診所,牙醫診所,桃園牙醫診所,中壢牙醫診所,平鎮牙醫診所,隱適美牙套,桃園隱適美牙套,中壢隱適美牙套,平鎮隱適美牙套,隱形牙套,桃園隱形牙套,中壢隱形牙套,平鎮隱形牙套,隱適美診所推薦,桃園隱適美診所推薦,中壢隱適美診所推薦,平鎮隱適美診所推薦,隱形矯正診所推薦,桃園隱形矯正診所推薦,中壢隱形矯正診所推薦,平鎮隱形矯正診所推薦,隱適美醫師,隱適美專科醫師,隱適美醫師推薦,桃園隱適美醫師,桃園隱適美專科醫師,桃園隱適美醫師推薦,中壢隱適美醫師,中壢隱適美專科醫師,中壢隱適美醫師推薦,平鎮隱適美醫師,平鎮隱適美專科醫師,平鎮隱適美醫師推薦,隱形矯正醫師,隱形矯正專科醫師,隱形矯正醫師推薦,桃園隱形矯正醫師,桃園隱形矯正專科醫師,桃園隱形矯正醫師推薦,中壢隱形矯正醫師,中壢隱形矯正專科醫師,中壢隱形矯正醫師推薦,平鎮隱形矯正醫師,平鎮隱形矯正專科醫師,平鎮隱形矯正醫師推薦,隱形牙套推薦,隱形牙套醫師,桃園隱形牙套推薦,桃園隱形牙套醫師,中壢隱形牙套推薦,中壢隱形牙套醫師,平鎮隱形牙套推薦,平鎮隱形牙套醫師,隱適美牙套推薦,隱適美牙套醫師,桃園隱適美牙套推薦,桃園隱適美牙套醫師,中壢隱適美牙套推薦,中壢隱適美牙套醫師,平鎮隱適美牙套推薦,平鎮隱適美牙套醫師,隱形矯正,隱形矯正推薦,桃園隱形矯正,桃園隱形矯正推薦,中壢隱形矯正,中壢隱形矯正推薦,平鎮隱形矯正,平鎮隱形矯正推薦,青少年隱適美矯正,青少年隱形矯正,青少年隱形牙套,桃園青少年隱適美矯正,桃園青少年隱形矯正,桃園青少年隱形牙套,中壢青少年隱適美矯正,中壢青少年隱形矯正,中壢青少年隱形牙套,平鎮青少年隱適美矯正,平鎮青少年隱形矯正,平鎮青少年隱形牙套,兒童隱適美矯正,兒童隱形矯正,兒童隱形牙套,桃園兒童隱適美矯正,桃園兒童隱形矯正,桃園兒童隱形牙套,中壢兒童隱適美矯正,中壢兒童隱形矯正,中壢兒童隱形牙套,平鎮兒童隱適美矯正,平鎮兒童隱形矯正,平鎮兒童隱形牙套,牙齒矯正推薦,牙齒矯正專科,桃園牙齒矯正推薦,桃園牙齒矯正專科,中壢牙齒矯正推薦,中壢牙齒矯正專科,平鎮牙齒矯正推薦,平鎮牙齒矯正專科,牙醫診所推薦,桃園牙醫診所推薦,中壢牙醫診所推薦,平鎮牙醫診所推薦,牙醫師推薦,桃園牙醫師推薦,中壢牙醫師推薦,平鎮牙醫師推薦,齒顎矯正,齒顎矯正推薦,齒顎矯正專科,桃園齒顎矯正,桃園齒顎矯正推薦,桃園齒顎矯正專科,中壢齒顎矯正,平鎮齒顎矯正,中壢齒顎矯正推薦,平鎮齒顎矯正推薦,中壢齒顎矯正專科,平鎮齒顎矯正專科,屏斗矯正,桃園屏斗矯正,中壢屏斗矯正,平鎮屏斗矯正,暴牙矯正,桃園暴牙矯正,中壢暴牙矯正,平鎮暴牙矯正,兒童牙齒矯正,兒童齒顎矯正,桃園兒童牙齒矯正,桃園兒童齒顎矯正,中壢兒童牙齒矯正,中壢兒童齒顎矯正,平鎮兒童牙齒矯正,平鎮兒童齒顎矯正,青少年牙齒矯正,青少年齒顎矯正,桃園青少年牙齒矯正,桃園青少年齒顎矯正,中壢青少年牙齒矯正,中壢青少年齒顎矯正,平鎮青少年牙齒矯正,平鎮青少年齒顎矯正,戴牙套,戴隱適美,戴隱形牙套,桃園戴牙套,桃園戴隱適美,桃園戴隱形牙套,中壢戴牙套,中壢戴隱適美,中壢戴隱形牙套,平鎮戴牙套,平鎮戴隱適美,平鎮戴隱形牙套,全口矯正,桃園全口矯正,中壢全口矯正,平鎮全口矯正, 全口微矯正,桃園全口微矯正,中壢全口微矯正,平鎮全口微矯正,