最新消息
夜間手麻痛到睡不著
夜間手麻痛到睡不著:52歲女性左上肢放射痠麻,Spurling(+)+MRI 顯示 C5–C7 狹窄,超音波導引針刀 6 週 3 次讓 NRS 9→2
6 週 3 次介入後,夜間醒來 3–4 次的惡夢結束,能一覺到天亮。
病情摘要
病例快速資訊
這個案例為什麼值得分享
「頸肩緊+手麻」在門診非常常見:有人把它當作單純肌肉痠痛,有人一看到 MRI「椎間盤突出」就以為只能走向手術。這個案例想示範的是——用幾個關鍵訊號把頸神經根問題鎖定,再把神經根出口周邊可逆的張力與沾黏處理掉,症狀往往能大幅改善。
鑑別診斷與決策邏輯:我如何把問題鎖定在「頸神經根出口」
1) 先問:這像不像頸神經根問題?
當患者的放射痠麻會被特定頸部姿勢誘發,尤其是後仰+旋轉/側彎,就要高度懷疑神經根受刺激。
2) Spurling test:最關鍵的床邊訊號
我請她把頭向後仰,再向左轉、左側彎,才剛做沒多久她就大叫: 🤦🏻♀️「啊啊啊⋯⋯好痠麻!」
這是一個簡單但非常重要的理學檢查——Spurling test。本案結果非常標準的陽性,強烈指向頸椎神經根相關問題。
3) 手臂抬高(類投降姿勢):看有沒有「減壓反應」
我接著請她把雙手舉高、做投降姿勢: 🤦🏻♀️「嗯,現在痠麻感減少大概一半。」
當手臂抬高能讓症狀下降,常表示症狀可能與神經根出口周邊壓力/張力改變有關,也暗示存在可逆因素值得處理。
超音波評估:我在意的是「會改變治療策略的線索」
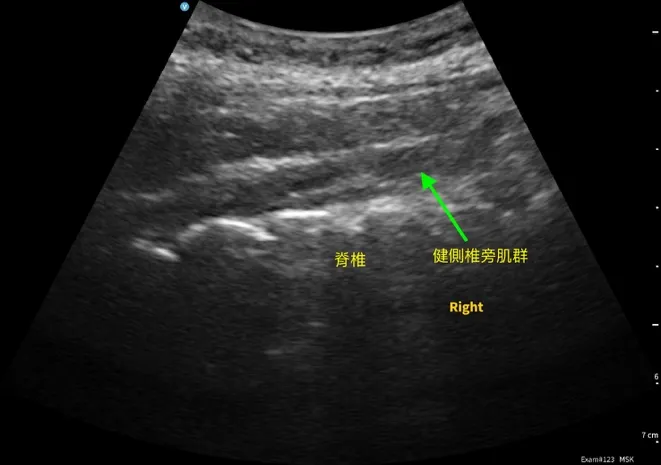
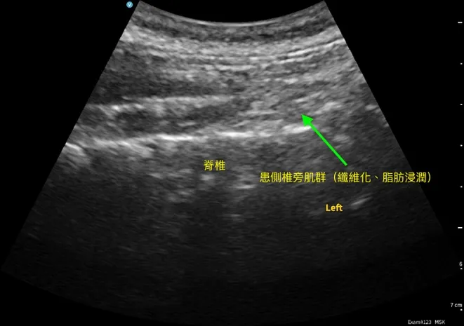
我使用超音波由頸部前外側向後檢查椎間盤健康狀態,看到 C5/6/7 段椎間盤變扁,並伴隨小鈣化訊號。 再往頸部側邊掃描,在神經根出口附近,探頭輕壓就能誘發她熟悉的痠痛與痠麻。 同時在頸部後側椎旁肌群,與健側比較,下段也呈現明顯纖維化與脂肪浸潤樣態。
這些發現讓我判斷:除了椎間盤本身,神經根出口周邊的高張力與沾黏軟組織很可能是讓症狀被持續放大的關鍵。

MRI:用來確認結構與嚴重度
我將患者轉診至神經外科安排 MRI,結果顯示:
我告訴她: 「先別失望。影像顯示狹窄並不等於當下只能手術。我們可以先處理出口周邊可逆的張力與沾黏因素,很多人症狀會明顯下降。我幫你安排 超音波導引針刀治療。」
🤦🏻♀️「陳醫師我相信你!我決定試看看!」
診斷結論(一句話定錨)
本案最符合:C5–C7 節段相關的頸神經根受刺激/壓迫(MRI 證實出口狹窄),並合併神經根出口周邊椎旁肌與軟組織高張力/沾黏,導致夜間放射痠麻加劇與功能下降。
治療策略:超音波導引針刀(分層處理可逆因素)
我們鎖定先前在超音波下看到的纖維化、高張力與疑似沾黏區域。在超音波可視化技術加持下:
結果與追蹤
這個案例的 5 個臨床要點
適用範圍與重要提醒
常見問題 FAQ
1) 椎間盤突出或神經出口狹窄,一定要開刀嗎?
不一定。是否需要手術通常取決於:是否有進行性肌力下降/神經學缺損、症狀嚴重程度、保守治療反應、影像與臨床是否吻合。很多人即使影像顯示狹窄,只要沒有紅旗,也可以先採取分層治療、觀察功能與症狀變化。
2) Spurling test 是什麼?陽性代表什麼?
Spurling test 是一個常用的頸椎理學檢查:把頸部帶到特定角度(通常包含伸展、旋轉/側彎),去誘發是否出現沿著手臂放射的熟悉痠麻/疼痛。 陽性通常支持「頸神經根受刺激/壓迫」的可能性提高,但仍需搭配病史、神經學檢查與必要影像整體判斷。
3) 為什麼把手抬高(類投降姿勢)會比較不麻?
有些頸神經根相關症狀,會因為抬高手臂後改變出口周邊的張力、壓力或神經受牽拉方式,而出現暫時緩解。這是一種臨床上的「減壓反應線索」,提示出口周邊機械因素可能可逆、值得處理。
4) 超音波在這類頸神經根問題上能做什麼?
在臨床上,超音波可用來:
5) 超音波導引針刀治療在這篇案例扮演什麼角色?
本案的核心目標是:在可視化下鎖定出口周邊的高張力、纖維化、沾黏區域,做精準鬆解,降低神經根出口周邊的機械性刺激,進而減輕放射痠麻與夜間疼痛,恢復睡眠與功能。
6) 什麼情況要先去神經外科/骨科評估,別只做保守治療?
若出現下列任何一項,建議優先做急性評估:
參考文獻
更新日期:2026-02-10
最後審閱日期:2026-02-10
作者
陳煜捷醫師|乾針|超音波導引針刀|超音波導引精準針灸
6 週 3 次介入後,夜間醒來 3–4 次的惡夢結束,能一覺到天亮。
病情摘要
- 主訴:數月夜間左上肢痠麻痛影響睡眠,白天工作無力;痠麻放射至上臂與前臂外側。
- 關鍵理學檢查:Spurling test 明顯陽性;手臂抬高(類投降姿勢)痠麻減少約一半。
- 超音波線索:C5/6/7 段退變相關訊號;神經根出口附近輕壓可誘發熟悉痠麻;下段椎旁肌結構改變(纖維化/脂肪浸潤樣態)。
- MRI:C5/6/7 椎間盤突出合併神經出口狹窄。
- 介入:超音波導引針刀,鎖定高張力與沾黏區域,避開血管/神經做精準鬆解。
- 療程:6 週 3 次。
- 結果:NRS 9/10 → 2/10;治療前每晚醒來 3–4 次 → 治療後可一覺到天亮。
- 提醒:若有進行性肌力下降、麻木擴大、大小便異常等紅旗,需優先神經外科/骨科評估。
病例快速資訊
- 個案:52 歲女性
- 病程:數月
- 主要症狀:左側肩頸痠痛,痠麻放射至上臂與前臂外側;夜間加重,影響睡眠;白天工作無力
- 加重/緩解:頸部後仰、旋轉、側彎誘發;手臂抬高(類投降姿勢)痠麻減少約一半
- 理學檢查:**Spurling test (+)
- 影像:MRI:C5/6/7 椎間盤突出+神經出口狹窄
- 治療:超音波導引針刀(6 週 3 次)
- 結果:NRS 9/10 → 2/10;夜間醒來 3–4 次 → 一覺到天亮
這個案例為什麼值得分享
「頸肩緊+手麻」在門診非常常見:有人把它當作單純肌肉痠痛,有人一看到 MRI「椎間盤突出」就以為只能走向手術。這個案例想示範的是——用幾個關鍵訊號把頸神經根問題鎖定,再把神經根出口周邊可逆的張力與沾黏處理掉,症狀往往能大幅改善。
鑑別診斷與決策邏輯:我如何把問題鎖定在「頸神經根出口」
1) 先問:這像不像頸神經根問題?
當患者的放射痠麻會被特定頸部姿勢誘發,尤其是後仰+旋轉/側彎,就要高度懷疑神經根受刺激。
2) Spurling test:最關鍵的床邊訊號
我請她把頭向後仰,再向左轉、左側彎,才剛做沒多久她就大叫: 🤦🏻♀️「啊啊啊⋯⋯好痠麻!」
這是一個簡單但非常重要的理學檢查——Spurling test。本案結果非常標準的陽性,強烈指向頸椎神經根相關問題。
3) 手臂抬高(類投降姿勢):看有沒有「減壓反應」
我接著請她把雙手舉高、做投降姿勢: 🤦🏻♀️「嗯,現在痠麻感減少大概一半。」
當手臂抬高能讓症狀下降,常表示症狀可能與神經根出口周邊壓力/張力改變有關,也暗示存在可逆因素值得處理。
超音波評估:我在意的是「會改變治療策略的線索」
我使用超音波由頸部前外側向後檢查椎間盤健康狀態,看到 C5/6/7 段椎間盤變扁,並伴隨小鈣化訊號。 再往頸部側邊掃描,在神經根出口附近,探頭輕壓就能誘發她熟悉的痠痛與痠麻。 同時在頸部後側椎旁肌群,與健側比較,下段也呈現明顯纖維化與脂肪浸潤樣態。
這些發現讓我判斷:除了椎間盤本身,神經根出口周邊的高張力與沾黏軟組織很可能是讓症狀被持續放大的關鍵。

MRI:用來確認結構與嚴重度
我將患者轉診至神經外科安排 MRI,結果顯示:
- C5/6/7 椎間盤突出
- 神經根出口狹窄
我告訴她: 「先別失望。影像顯示狹窄並不等於當下只能手術。我們可以先處理出口周邊可逆的張力與沾黏因素,很多人症狀會明顯下降。我幫你安排 超音波導引針刀治療。」
🤦🏻♀️「陳醫師我相信你!我決定試看看!」
診斷結論(一句話定錨)
本案最符合:C5–C7 節段相關的頸神經根受刺激/壓迫(MRI 證實出口狹窄),並合併神經根出口周邊椎旁肌與軟組織高張力/沾黏,導致夜間放射痠麻加劇與功能下降。
治療策略:超音波導引針刀(分層處理可逆因素)
我們鎖定先前在超音波下看到的纖維化、高張力與疑似沾黏區域。在超音波可視化技術加持下:
- 避開動脈、神經等重要結構
- 以可視化方式進行精準鬆解、剝離沾黏
- 目標是降低神經根出口周邊的牽拉與機械性壓力,讓神經不再被持續刺激
結果與追蹤
- 療程:6 週共 3 次超音波導引針刀治療
- 疼痛量化:NRS 9/10 → 2/10
- 睡眠指標:治療前每晚醒來 3–4 次 → 治療後可一覺到天亮
- 生活功能:夜間痠麻不再影響睡眠,白天工作無力明顯改善
這個案例的 5 個臨床要點
- Spurling test 陽性且姿勢誘發放射症狀時,頸神經根問題的機率大幅上升。
- 手臂抬高症狀減輕提示出口周邊壓力/張力可逆,值得納入治療策略。
- 超音波不只看肌肉,也能協助定位神經根出口誘發點與周邊沾黏/纖維化線索,並提升介入安全性。
- MRI 能確認結構與嚴重度,但治療決策仍需回到症狀、神經學缺損與治療反應分層。
- 以可視化方式精準處理出口周邊張力因素,常能顯著改善症狀,讓患者在「必須手術」之外看見另一條路。
適用範圍與重要提醒
- 本文為個案分享,內容不構成個別醫療建議;治療方式需由專業評估後決定。
- 若出現進行性肌力下降、麻木快速擴大、步態不穩、大小便功能異常、嚴重疼痛惡化等情形,請優先至神經外科/骨科做急性評估。
- 侵入性治療皆有風險(出血、感染、神經刺激等),需個別評估適應症與禁忌症。
常見問題 FAQ
1) 椎間盤突出或神經出口狹窄,一定要開刀嗎?
不一定。是否需要手術通常取決於:是否有進行性肌力下降/神經學缺損、症狀嚴重程度、保守治療反應、影像與臨床是否吻合。很多人即使影像顯示狹窄,只要沒有紅旗,也可以先採取分層治療、觀察功能與症狀變化。
2) Spurling test 是什麼?陽性代表什麼?
Spurling test 是一個常用的頸椎理學檢查:把頸部帶到特定角度(通常包含伸展、旋轉/側彎),去誘發是否出現沿著手臂放射的熟悉痠麻/疼痛。 陽性通常支持「頸神經根受刺激/壓迫」的可能性提高,但仍需搭配病史、神經學檢查與必要影像整體判斷。
3) 為什麼把手抬高(類投降姿勢)會比較不麻?
有些頸神經根相關症狀,會因為抬高手臂後改變出口周邊的張力、壓力或神經受牽拉方式,而出現暫時緩解。這是一種臨床上的「減壓反應線索」,提示出口周邊機械因素可能可逆、值得處理。
4) 超音波在這類頸神經根問題上能做什麼?
在臨床上,超音波可用來:
- 協助定位神經根出口附近可能的誘發點與周邊軟組織張力/沾黏線索
- 作為介入時的可視化工具,讓治療過程能避開血管、神經等重要結構、提升安全性與精準度 (但 MRI 仍是評估椎間盤突出與椎管/出口狹窄的重要影像工具。)
5) 超音波導引針刀治療在這篇案例扮演什麼角色?
本案的核心目標是:在可視化下鎖定出口周邊的高張力、纖維化、沾黏區域,做精準鬆解,降低神經根出口周邊的機械性刺激,進而減輕放射痠麻與夜間疼痛,恢復睡眠與功能。
6) 什麼情況要先去神經外科/骨科評估,別只做保守治療?
若出現下列任何一項,建議優先做急性評估:
- 進行性肌力下降或明顯肌萎縮
- 麻木快速擴大、走路不穩/步態改變
- 大小便功能異常
- 劇烈疼痛持續惡化、或合併發燒/不明體重下降等紅旗
參考文獻
- North American Spine Society (NASS). Evidence-Based Clinical Guidelines for Multidisciplinary Spine Care: Diagnosis and Treatment of Cervical Radiculopathy from Degenerative Disorders.
- Blanpied PR, et al. Neck Pain: Revision 2017 Clinical Practice Guidelines. Journal of Orthopaedic & Sports Physical Therapy. 2017.
- Bono CM, et al. An evidence-based clinical guideline for the diagnosis and treatment of cervical radiculopathy from degenerative disorders. Spine J. (與 NASS 指引相關的核心論述與建議)
- Wainner RS, et al. Reliability and diagnostic accuracy of the clinical examination and patient self-report measures for cervical radiculopathy. Spine. 2003.(含 Spurling、ULNT、頸牽引/肩外展等測試的診斷價值)
- Kuijper B, et al. Cervical collar or physiotherapy versus wait and see policy for recent onset cervical radiculopathy: randomized trial. BMJ. 2009.(保守治療路徑與臨床決策常被引用的研究)
更新日期:2026-02-10
最後審閱日期:2026-02-10
作者
陳煜捷醫師|乾針|超音波導引針刀|超音波導引精準針灸
相關文章