最新資訊
「血尿、頻尿,都是膀胱炎、感染嗎? 小心隱形殺手膀胱癌!」—犬膀胱癌須知
「血尿、頻尿,都是膀胱炎、感染嗎? 小心隱形殺手膀胱癌!」—犬膀胱癌須知
⸻
我們最常聽到的一句話是:
「醫師,他已經尿尿怪怪很久了,一直蹲廁所,亂尿尿,血尿,在其他醫院開抗生素,也沒有比較好。」
遇到這樣的情況,我們大約有警覺事情可能沒這麼單純:
但有些案例,背後真正的原因是腫瘤——
什麼是TCC?
膀胱內部有一層特殊的細胞,叫做移行上皮(Transitional epithelium),這層膀胱內襯的細胞具有伸縮功能(因為膀胱需儲存尿液)當這些細胞發生癌化就形成了 TCC,根據統計,犬膀胱移行上皮癌(TCC)在整體犬隻中不算高發
• 約佔所有犬腫瘤:1–2%
• 但在泌尿道腫瘤中90%以上是TCC
由於母犬發較公犬好發1.5-2倍,因此推測與荷爾蒙或反覆泌尿道感染有關(母犬較容易發生泌尿道感染)。也有研究指出可能與暴露在除草劑與二手煙有關。另外梗犬、米格魯、德國狼犬,也有較高發生率。
這些危險因子可能導致基因受損,因85%的TCC會表現出BRAF基因突變,致使活化MAPK pathway導致細胞不正常增生,因此除了切片、細胞檢查之外,也可以直接透過尿渣BRAF的突變偵測來診斷大部分的移形上皮癌。
當出現:
簡單掃個超音波,就能大致區別與排除腫瘤或一般感染、結石的可能性。
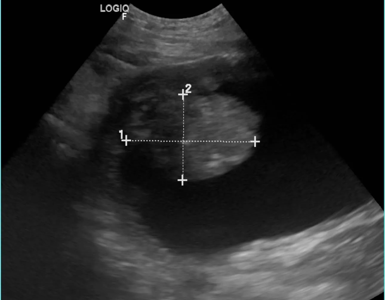
只要在超音波檢查見到瘜肉樣病變,我們可能就會安排下列檢查:
• 尿液分析(細胞)、膀胱(經尿道)內視鏡採樣
• 尿渣BRAF基因突變檢測(非侵入性)
其實只要其中一項有符合,真的是膀胱癌的機會就很高了
TCC最常發生在膀胱三角區(輸尿管+尿道出口)這代表手術困難容易復發,甚至造成失禁,目前文獻顯示,真正具有意義的手術是全膀胱(公犬必須包含前列腺)切除加上雙側輸尿管移植(到陰戶、包皮腔或者直腸)的方式進行,手術難度高,術後生活品質也較難維持。
因此現階段,絕大多數的獸醫師與飼主選擇的是盡量保有生活品質的保守療法。
常見策略包含:
• NSAIDs (非類固醇消炎藥)
• 化療
• 介入性治療(利用支架疏通遭腫瘤阻塞的尿路)
其中以NSAIDs+口服化療為核心的治療又稱鐘擺治療,口服化療藥用更低的劑量、連續的方式長期給予,目的不再是單靠高峰濃度直接大量殺死腫瘤細胞,而是持續改變腫瘤微環境,讓腫瘤比較難再長、比較難再建立血管、也比較不容易維持一個免疫抑制的生存狀態。近年的獸醫腫瘤學回顧普遍認為,節拍化療的主要作用機轉包括抑制腫瘤新生血管、降低 Treg 與其他免疫抑制成分、促進樹突細胞與細胞毒性免疫反應,另外也可能直接影響部分腫瘤細胞與癌幹細胞,讓疾病進入較偏向慢性控制而不是快速擴張的狀態,犬 TCC 在現有治療下通常難以治癒,但多數病例可以被控制相當一段時間,生活品質往往能維持數月到一年以上。
越早開始治療的毛孩能有更多正常的生活的品質,若毛孩有任何泌尿道狀況,切記膀胱超音波一定要包含在內!

膀胱出現明顯腫塊,伴隨血尿、頻尿,在開始口服化療後已明顯改善

膀胱癌在尿渣中典型細胞型態
-
貓肥大細胞瘤治療新選擇-冷凍消融治療
相信之前有在關注安可衛教文章的朋友,都知道我們主要傳達的理念,腫瘤手術成功的關鍵,在於合適的切創邊界。
切創不足,腫瘤殘留往往很快復發,治療白忙一場甚至導致腫瘤更難以處理;然而切創範圍太大,容易損害器官或肢體運動功能的受損,造成諸多併發症,這也是要積極避免的。這時候根據腫瘤種類,良惡性決定手術範圍就非常重要。 -
「關於乳腺腫瘤,你可能會很意外的幾件事」
1. 可能是在狗狗身上最常見的腫瘤:沒有絕育的中老年母犬,健康檢查或其他門診的時候,真的超常發現的。
2.可能是貓咪最可怕的腫瘤根據統計,超過3公分的乳腺腫瘤,治癒機率比聽起來更恐怖的注 -
狗狗深藏不露的肛門囊癌
醫師在不同病患發現這個腫瘤的時候 ,幾乎是一個病患一個故事:「狗狗突然大便變得很細!」、「狗狗好像尿不出來,變得好虛弱!」、「他好像站不起來了,突然又吐又拉的!」「他健康檢查血鈣好高,但都找不到原因!